「洁牙」“牙结石”教你4个土办法,不用去洗牙,牙垢哗哗往下掉

文章图片

文章图片

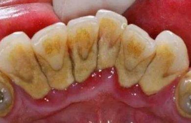
据我所知 , 很多人都因为牙垢问题而感到困扰 , 他们自己无法消除牙垢 , 只能定期去医院进行洗牙来清除 。 但每次洗牙也是一笔费用 , 而且需要打出时间来 , 一来一去无比的麻烦 , 那该怎么办呢 , 快来看看接下来的这几种办法吧 , 让你不洗牙也能消除牙垢 。
一 。 橘子皮
许多人都认为吃橘子会使得牙齿变黄难以恢复 , 但其实橘子的皮对牙垢来说有着很大的用处 。 平常可以把橘子皮磨成粉 , 然后涂在牙齿上 , 就能够清除牙垢 。
二 。 柠檬汁
柠檬中含有大量的柠檬酸和果酸 , 能够有效地清洁牙齿上的牙垢并且还能够去口臭 。 将柠檬汁含在口中漱口即可 , 不过不要过于频繁 , 可能会过分酸蚀牙齿反而起到反作用 。
三 。 小苏打
小苏打应该是大家都不陌生的一个方法 。 平时刷牙时可以撒一些小苏打 , 长期使用不仅能够清除牙垢 , 还能够起到美白牙齿的作用 。
四 。 醋
醋中的酸性可以很好的清除牙齿表面坚固的残留物 , 但是由于醋的酸性有点偏大 , 所以并不建议频繁地使用 , 两三个月清洁一次就好 。
【「洁牙」“牙结石”教你4个土办法,不用去洗牙,牙垢哗哗往下掉】以上的四种方法就是能够清洁牙垢的方法 , 快去尝试一下吧 。
推荐阅读
- 重庆晚报@每一口都是儿时回忆!美食专家教你3步轻松做出清明粑
- 「金笔探史」教你做出好吃的丸子,香酥又可口!,素丸子的家常做法
- 『分分钟谈健康』吴老师教你极简的方法“挤一挤”,小儿推拿主要在手
- 『飞飞的健康』展示高难度体式,教你正确解锁标准瑜伽轮式,超火瑜伽女孩
- 新乡市第二人民医院党委▲拇趾外翻——市二院足踝专家教你正确治疗方法
- 「健康百知道」这样吃面血糖照样稳!,吃面条容易升血糖?教你一招
- [做饭小七七]教你做罐头,孩子喜欢,营养美味,放一年不坏,黄桃别生着吃了
- 人民健康@运动强度过大会导致免疫力降低?教你2个判断方法
- 养生保健达人■这样喝,牛奶才不会白喝,怎样喝牛奶才健康?教你4个“诀窍”
- 舌尖尝美食▲教你新做法!香嫩入味超美味,豆腐和胡萝卜天生一对
